手機全觸屏操作
觸屏APP操作界面,簡便易學,即開即用。工業級設計,超萬次插拔試驗保證接口靈活耐用。

全輻射熱像小視頻
捕捉更多數據
手機可直接錄制100O幀全幅射熱像視頻,溫變過程實時捕捉。自定義采樣速率(最快5幀/秒),沒有PC也能自動采集數據。

高低溫自動捕捉
12點10區溫度數值
自動捕捉高低溫點,瞬間定位故障位置。多目標同時測溫是熱成像的最大優勢,相比只有中心點測溫的普通熱像儀,Fotric 256讓工程師檢測更省力,分析更高效,結論更可靠。
超長續航
免去頻繁充電之憂
低功耗設計賦予熱像儀主機超10小時的續航能力,滿足全天不間斷使用要求,讓用戶專注工作。

手機直接分析熱像圖
使用更輕松
Fotric 256支持熱像圖在本機即時分析。不僅可以分析本機拍攝的熱像圖,更能從云端下載歷史數據進行分析比對。

靈活分區域發射率設定
專業測溫參數修正
本機與PC軟件都可以設置各區域不同發射率,實現不同材質單獨準確測量。同時可對透過率、測試距離等進行設置,保證溫度的準確性。
分享創造價值
APP和PC軟件同時分析熱像圖
云架構支持遠程協同工作,現場數據快速分享,遠程診斷幫助現場解決問題。進度同步更新,實現零時差作業。不止手機,PC也可同步查看分析云端熱像照片。

在線更長期
過硬品質
在線更長期
Fotric 256熱像儀采用價格更高,支持長期工作的高端電子元器件,保證熱像儀可以在在線模式下長時間正常運行,同時維持長久的使用壽命。旁路電源設計,使熱像儀在外接電源模式下可以不間斷長期運行。
全輻射熱像視頻流
Fotric 256配合PC端專業的AnalyzIR研發軟件記錄全輻射熱像視頻,視頻保存每一幀圖像每個像素點的溫度數據。

FOTRIC AnalyzIR專業分析軟件
熱像分析,絕不是單一熱像圖
FOTRIC AnalyzIR軟件為滿足研發用戶使用需求而開發,從圖像、溫度及時間的三維視角來進行測試分析。一張圖將擁有更多的細節和變化過程,比常規設備維護類熱像儀的研究更深入,數據更可靠,論文更漂亮。

注:
1.原始溫差模式
2.點、線、框、調色板、等溫線等工具
3.采樣前/后溫度修正,支持發射率分區域設置
4.ROl溫度時間曲線;RO土RO溫度/時間曲線;不同視頻曲線疊加對比
5.線溫分布
6.直方圖
7.熱像三維圖
1TB超大文件,數據記錄不中斷
長期在線模式下采集的數據非常大。fotric 256配套軟件支持錄制最大1TB的單個全幅射熱像視頻,幫助研發用戶記錄實驗過程的完整數據。

自動采集數據,釋放人力資源
3種數據自動采集模式:
?、贂r間觸發②溫度觸發③外部I/O觸發

原始溫度數據矩陣
用戶可選擇任意幀熱像畫面另存為全輻射熱像圖,導出該圖全部像素點原始溫度值的。CVS格式數據表格。
這些原始數據有助用戶優化算法,或是用其他軟件生成仿真云圖。

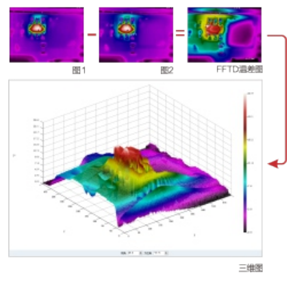
全幅溫差FFTD分析
再細微的差異也能直觀呈現
直觀獲取任意兩張熱像圖的溫度差異,分析更快速精準,報告更明了易懂。

畫中畫與畫面融合
支持畫中畫和畫面融合功能,查看畫面中特定溫度區域。

研發微距鏡=獨立鏡頭+獨立標定
Fotric 256熱像儀勝任50um的微觀溫度分布測量
獨立微距鏡∶無能量衰減,保證成像質量;而傳統熱像儀是在標準鏡頭處加裝倍鏡會增加光衰,降低了成像質量。
獨立標定:FOTRIC原裝微距鏡與主機一對一做溫度標定,測溫精度得到保證。

微距鏡示意

典型應用
電子行業
未封裝芯片內部溫度分布測試
測試難點:大多電子方面的熱分布分析不是一張熱像圖可以解決的,需要看到溫度變化的過程,看到整個實驗的溫度變化情況。 解決方案:對于芯片等小目標可以使用Fotric 256搭配50微米微距鏡。
通過AnalyzIR的在線分析功能,可以連續檢測溫度變化過程,錄制后可以任意分析

生物醫藥
靶向納米材料 測試難點:記錄整個實驗過程,對比不同實驗體溫度變化。 解決方案:Fotric 256搭配B3s萬向測試臺,便于材料測試時水平觀看與體內實驗時側向觀看,在線分析功能實時記錄整個實驗過程,利用時間溫度曲線的疊加模式直接對比不同實驗體的溫度變化情況。

汽車行業
輪胎測試
測試難點:輪胎耐久實驗需要長時間測試,一般長達7-10天,需要 記錄整個過程,沖擊實驗需要較高幀頻。
解決方案:Fotric 256旁路電源設計可外接電源使用而不會導致電 池發熱,在線分析功能可連接PC軟件錄制分析,支持自定義幀頻, 沖擊實驗使用30Hz高幀頻錄制,耐久實驗可以降低幀頻減少數據 量,且支持1TB單個視頻錄制,滿足長期錄制要求。

材料性能
碳纖維疲勞測試
測試難點:捕捉斷裂瞬間,記錄溫變過程用于后期分析。
解決方案:斷裂屬于瞬間行為,需要在線模式下的長期監測。將 Fotric 256搭配B3s萬向實驗臺可以解放人力,輕松實現。通過 AnalyzIR的在線分析與錄制功能記錄整個溫變過程,時間溫度趨勢分 析直觀展示溫變情況,溫差模式便于分析溫升變化。

其他應用


技術參數









